Load

Load

본문 바로가기
온라인
상담

테넥스치료

수술에 가까운 효과
빠른 일상 복귀가 가능한 핀포인트 최소침습 치료

수술시간

10~20분

마취방법

국소마취

입원치료

1박 입원 또는
상담 후 결정

내원치료

1~2회

일상생활

1~2일 내

TENEX CLINIC

테넥스치료

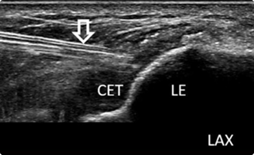
테넥스 치료는 2~3mm의 작은 절개 후 특수 초음파 기구를 이용해
손상된 조직만 선택적으로 제거하고, 건강한 힘줄은 보존하는 최소침습 치료입니다.

주로 내·외상과염(테니스엘보, 골프엘보)과 같이 반복적인 사용으로
힘줄이 손상되어 변성 조직이 통증을 유발하는 만성 힘줄 질환에 시행됩니다.

TENEX CLINIC

이런 분들께 추천합니다

테넥스 치료는 통증의 원인이 되는 손상 조직을 직접 제거하는 치료로
보다 확실한 통증 개선을 기대할 수 있습니다.

주사치료 및 물리치료에도 호전이 없었던 경우

수술은 부담스럽지만 보다 적극적인 치료를 원하는 경우

팔꿈치 통증으로 일상생활이 불편한 경우

빠른 회복과 일상 복귀가 필요한 경우

TENEX CLINIC

치료방법

테넥스 치료는 통증을 유발하는 변성 조직 자체를 제거하는 방식으로 진행됩니다.
단순히 염증을 완화하는 주사 치료와 달리 문제의 원인을 직접 개선하기 때문에
만성 내·외상과염에서도 수술에 준하는 치료 결과를 보이는 경우가 있습니다.

초음파 확인

초음파 확인

통증 부위를 초음파로 정밀하게 확인합니다.

핀포인트 절개

핀포인트 절개

2~3mm의 아주 작은 절개를 시행합니다.

손상 조직 제거

손상 조직 제거

특수 초음파 기구를 이용하여 손상된 조직만 제거하고 건강한 힘줄은 보존합니다.

TENEX CLINIC

환자의 삶의 질 개선을 위해
처음부터 끝까지 세심하게 치료합니다.

1:1 맞춤 진료

다년간 노하우를 맞춤 적용시켜드리고 있습니다.

철저한 위생시스템

사용하는 모든 기구는 철저하게 소독관리합니다.

끊임없는 치료 연구

더 나은 결과를 위해 끊임 없이 연구합니다.

병원 오시는 길

경기도 부천시 길주로237 6층

진료시간

※ 일요일, 공휴일 휴진

  • 오전 9:00 ~ 오후 19:00
  • 오후 13:00 ~ 오후 14:00
  • 오전 9:00 ~ 오후 14:00
  • * 토요일 점심시간 없음

상담 문의 및 안내

032-327-8873